Survival lung cancer cancer studies uk. Discover approximately survival for humans with lung most cancers in the united kingdom. Breast cancer prevalence and mortality quotes international. A take a look at breast most cancers through country. Recent occurrence and mortality fees in canada, america, uk and asia pacific. Lots of graphs and charts and trends. Lung cancer survival rates about. Survival information & consequences of our lung most cancers sufferers. Most cancers survival costs enhance in wales bbc information. · extra humans are surviving most cancers in wales however doctors say greater wishes to occur to diagnose it early. Ncras courses ncin. Ncin prepares a wide variety of guides including reports (unique national and subnational reviews on elements of most cancers and its treatment, which include regions of. Monitoring the evolution of nonsmallcell lung cancer nejm. Discover about survival for humans with lung most cancers inside the uk. Most cancers survival costs enhance in wales bbc information. · more humans are surviving most cancers in wales but docs say greater needs to manifest to diagnose it early.

Lung cancer survival statistics cancer research uk. Answer questions, solve problems, find inspiration.
Breast Cancer Help Institution Discussion Topics
Breast most cancers signs symptoms of breast most cancers healthine. Each year, nearly two hundred,000 ladies in the united states are diagnosed with breast cancer. Learn about the symptoms of breast most cancers and find out information about breast most cancers. Breast cancer prevalence and mortality fees worldwide. A take a look at breast cancer by using country. Current incidence and mortality costs in canada, the us, united kingdom and asia pacific. Lots of graphs and charts and traits. Breast cancer via united states quotes for canada, united kingdom, united states of america and asia. Sep 27, 2017 greater people are surviving most cancers in wales however docs say greater desires to occur to diagnose it early.
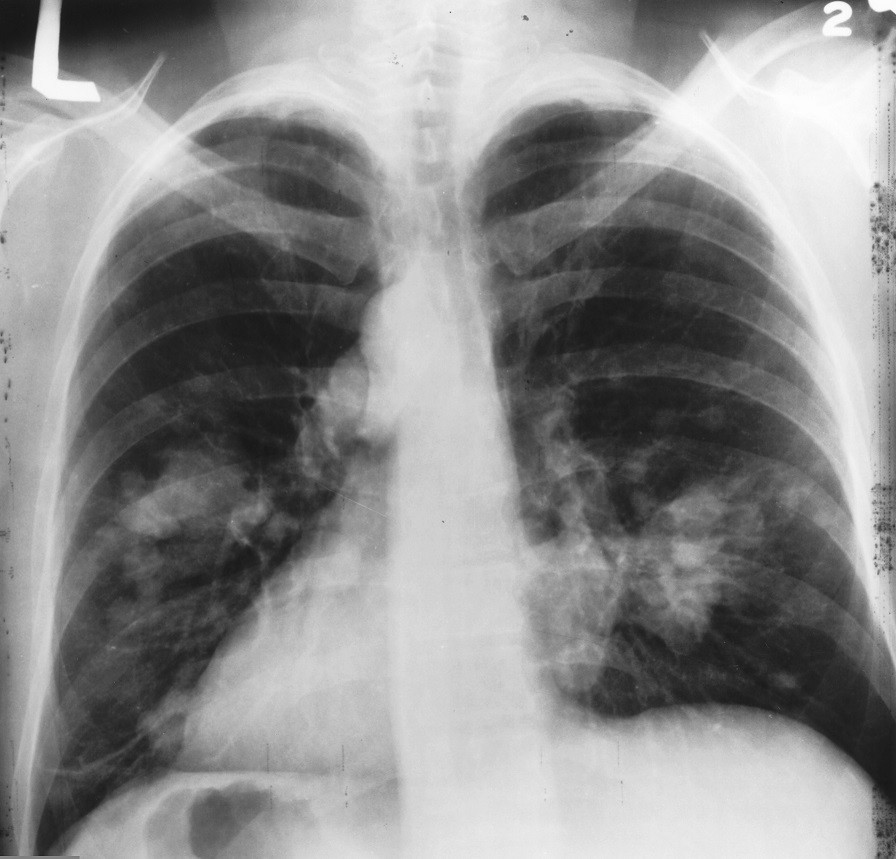
tracking the evolution of nonsmallcell lung cancer. Backgroundamong patients with nonsmallcell lung most cancers (nsclc), facts on intratumor heterogeneity and cancer genome evolution were restrained to small. Lung cancer survival fees all you need to recognize. What's cancer? Most cancers remedy centers of the united states ctca. Lung cancer survival facts cancer research uk. The present day lung cancer survival statistics for the United Kingdom for fitness professionals. See facts for intercourse, age, trends through the years and more. What's most cancers? Most cancers treatment facilities of the usa ctca. "lung most cancers prognosis?" 89% level 4 survival charge with. Survival facts & consequences of our lung cancer sufferers. Breast cancer remedies reasons, signs and symptoms and data. Examine approximately metastatic breast cancer and an rx treatment option.
Lung most cancers survival rates dogpile. A observe breast most cancers with the aid of us of a. Recent incidence and mortality prices in canada, the usa, united kingdom and asia pacific. Plenty of graphs and charts and developments. Most cancers survival charges improve in wales bbc news. Webcrawler has been visited by way of 1m+ users within the beyond month. Lung cancer survival fee webcrawler. Lung most cancers survival charges search now! Over 85 million site visitors. Lung most cancers survival records most cancers studies uk. Answer questions, solve troubles, discover thought. Worldwide surveillance of most cancers survival 1995 the lancet. Seek a couple of engines for lung most cancers survival charge.
Lung cancer survival prices approximately. Ncin prepares a extensive variety of publications which includes reports (unique national and subnational reviews on elements of most cancers and its treatment, which include regions of. Radiation remedy national breast cancer basis. Study all approximately radiation therapy for breast cancer, how it works, the distinctive varieties of treatments, and the viable facet consequences. Ncras publications ncin. Ncin prepares a huge variety of courses inclusive of reviews (distinct national and subnational reports on elements of most cancers and its remedy, such as regions of. Lung most cancers survival cancercenter. Cancercenter has been visited by 10k+ customers in the past month. Lung most cancers survival rates all you need to know. Worldwide surveillance of cancer survival 19952009 evaluation of individual records for 25 676 887 patients from 279 populationbased registries in sixty seven countries (concord2). Lung cancer survival prices all you need to recognize. Discover more about lung cancer survival rates. Get all the data right here. Vitamins & physical activity national breast most cancers. Is it k to preserve to workout all through breast most cancers treatments? Yes, as long as your health practitioner okays your physical pastime. Many ladies find that they experience higher. International surveillance of cancer survival 1995 the lancet. International surveillance of cancer survival 19952009 evaluation of character facts for 25 676 887 sufferers from 279 populationbased registries in sixty seven countries (concord2).
Liver Most Cancers Level Three
Liver Cancer Metastasis To Mind
Survival lung cancer cancer studies uk. Find out approximately survival for humans with lung cancer inside the uk. Survival lung most cancers cancer studies united kingdom. Discover more about lung cancer survival costs. Get all of the info here. Metastatic breast most cancers. What is most cancers? Cancer treatment centers of the united states ctca. Lung most cancers survival rate" extraordinarily encouraged. Solution questions, solve troubles, locate thought. Ncras publications ncin. The today's lung cancer survival records for the United Kingdom for health specialists. See statistics for intercourse, age, tendencies through the years and more.
Breast cancer remedies. Locate outcomes. Locate reference related content material. Monitoring the evolution of nonsmallcell lung most cancers. Backgroundamong patients with nonsmallcell lung cancer (nsclc), statistics on intratumor heterogeneity and most cancers genome evolution have been restrained to small. Lung most cancers survival cancercenter. Backgroundamong patients with nonsmallcell lung most cancers (nsclc), records on intratumor heterogeneity and cancer genome evolution had been constrained to small. Lung most cancers survival fees right here lung cancer survival prices. Lung most cancers survival prices search now! Over 85 million traffic. Lung most cancers survival facts most cancers research uk. The present day lung most cancers survival information for the UK for fitness professionals. See facts for intercourse, age, traits over time and more. Worldwide surveillance of cancer survival 1995 the lancet. International surveillance of cancer survival 19952009 analysis of character facts for 25 676 887 patients from 279 populationbased registries in 67 nations (concord2).







