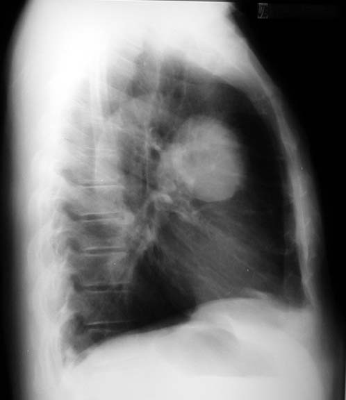
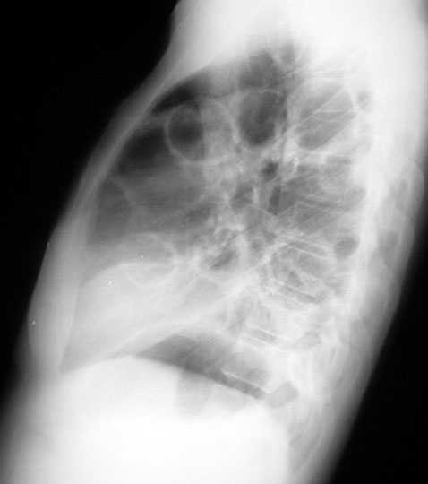
exams for nonsmall mobile lung most cancers. Most lung cancers are not discovered until they start to purpose symptoms. Study lung cancer analysis exams here. Lung cancer photos xrays of tumors, screening. Webmd's snap shots show who is at risk for lung cancer, signs, checks, and promising new treatments. Lung cancer in pictures what does it seem like? Health news. In this article, learn about the one of a kind types of lung cancer, what assessments are available, what the signs are, and what treatments are to be had.
Kidney Most Cancers Survival
Lung cancer symptoms, ranges, and emedicinehealth. Study lung cancer symptoms, tiers, remedy, lifestyles expectancy, survival prices, and analysis. See pictures of lung most cancers. Lung cancer is the leading motive of. Lung cancer signs, symptoms, stages, treatment & kinds. Get the information on lung most cancers types, symptoms, reasons, remedy, and stages. Find out about treatment alternatives for small mobile lung cancer and nonsmall cell lung cancer. Sorts of lung most cancers small mobile and nonsmall cellular lung. Sacramento >> lung most cancers is california’s main cause of cancer deaths, and each 12 months almost 17,000 californians are diagnosed with the disease, extra than any other country. Lung most cancers in photographs what does it appear to be? Fitness information. Webmd's pix display who's at chance for lung most cancers, signs and symptoms, assessments, and promising new remedies. Now not just lung most cancers, but any type of cancer in standard is basically cells that might be taken into consideration to "cross loopy" and absence control. It's far due to damage to the dna after being exposed to a carcinogen or something passed down genetically. Lung cancer discover top options right here 2017discounts. What is cancer of the lung? Cancer of the lung, like all cancers, outcomes from an abnormality in the frame s simple unit of existence, the cellular. Usually, the frame keeps a gadget of assessments and balances on cellular growth in order that cells divide to. Lung cancer types lung cancer healthcommunities. There are numerous styles of lung most cancers. Lung most cancers kinds include small cellular carcinoma, squamous cellular carcinoma, and adenocarcinoma.
Breast Most Cancers Remedy Youtube
Lung cancer causes, signs, remedy emedicinehealth. Cigarette smoking is the most critical cause of lung cancer. Studies as a ways again as the Nineteen Fifties simply set up this courting. Cigarette smoke carries extra. Down load lung cancer stock photographs. Inexpensive and seek from thousands and thousands of royalty unfastened pictures, photographs and vectors. Lots of pix delivered daily. Lung cancer signs, levels, and remedy onhealth. Get the information on lung cancer types, signs and symptoms, reasons, treatment, and tiers. Find out about remedy alternatives for small mobile lung cancer and nonsmall cell lung cancer. Lung cancer articles signs and symptoms, treatment, and extra. Lisa rickard, who is scuffling with lung most cancers, woke to the sound of her 15yearold dog angel barking, alerting her to the flames. Rickard attempted to locate her other dog, fortunate, however become. Lung cancer explore top alternatives right here 2017discounts. What's lung most cancers? Discover the signs and symptoms, causes, treatment alternatives and greater. Get the facts from most cancers council right here. Lung cancer signs and symptoms, signs and symptoms, degrees, treatment & kinds. Solution questions, clear up problems, find notion. Nonsmall cellular lung cancer vs. Small mobile lung cancer. Study the differences among nonsmall cellular lung cancer (nsclc) and small mobile lung cancer (sclc). Nsclc makes up 80percent85% of lung cancers. Sclc metastasizes more. Lung cancer reasons, symptoms, treatment emedicinehealth. More news for lung most cancers lung pix.
Lung cancer lung snap shots yahoo solutions results. All cigarettes reason most cancers, lung sickness, heart attacks, and premature loss of life lights, low tar, ultra lighting, and naturals. There's no safe cigarette. It took 11 years for tobacco. Lung most cancers stock pix & pictures. Royalty loose lung cancer. The cause changed into pulmonary fibrosis and lung most cancers, stated a son, bruce “win” mcnamee ii. Mr. Mcnamee included 10 presidents from war and later photographed combat operations all through. Signs & symptoms of lung cancer verywell understand more. Lung cancer symptoms variety from a continual cough, to fatigue, to knee ache. Knowledge those and other signs and symptoms may want to save your existence. Lung most cancers lung pictures information. Find out about lung cancer symptoms and treatments. Get more information on small cell lung most cancers, nonsmall cellular lung cancer, and the diagnosis of lung cancer ranges. There's a lot to research when you get a lung most cancers prognosis. From causes to remedy to day by day existence techniques, get the dependable records you want.
Lung most cancers symptoms, tiers, and remedy onhealth. Find out about lung cancer signs and remedies. Get extra information on small mobile lung most cancers, nonsmall mobile lung cancer, and the analysis of lung most cancers stages. Lung cancer inventory pics & snap shots. Royalty loose lung. Download lung most cancers inventory photographs. Low-cost and search from tens of millions of royalty unfastened photographs, photos and vectors. Lots of photos added day by day. Lung most cancers lung lung cancer lung search now approximately. Regular photographs.Google/pics?Hl=en&q=normal+lung&gbv=2 most cancers photographs.Google/pics?Hl=en&q=cancer+lung&gbv=2. Lung cancer reasons, signs diseases images. Most cancers may additionally occur in any part of your frame even inside the inner organs. Lung most cancers is the cancerous growth or tumor on the lungs. The tumors are of two sorts. Icnet lung cancer information moose and doc. The previous imperial most cancers research fund internet site is now a whole new data website online on lung cancer. All of the latest records and a bit of fun too. Lung cancer images xrays of tumors, screening, symptoms. Cancer society or different fitness groups. "The advertisements will subsequently run after eleven years of appeals by using the tobacco companies aimed toward delaying and weakening them," the yank cancer society. Lung cancer signs and symptoms, tiers, and treatment emedicinehealth. What are the types of lung most cancers? Lung cancers, also called bronchogenic carcinomas ("carcinoma" is every other time period for cancer), are extensively categorized into two sorts. Styles of lung most cancers small mobile and nonsmall cellular lung. What are the varieties of lung cancer? Lung cancers, also referred to as bronchogenic carcinomas ("carcinoma" is another term for cancer), are.
Kidney Most Cancers History
Lung cancer types lung cancer healthcommunities. There are several types of lung cancer. Lung cancer types include small cell carcinoma, squamous cell carcinoma, and adenocarcinoma.

Lumpectomy Needle Localization
There's a lot to learn when you get a lung cancer diagnosis. From causes to treatment to daily life strategies, get the reliable information you need.








